两例巨大肾上腺皮质癌患者获救
来源:新湖南客户端 点击次数:次 发布时间:2026年03月25日 作者:周阳乐 骆丽萍 艾凯
湖南日报3月23日讯(全媒体记者 周阳乐 通讯员 骆丽萍 艾凯)肾上腺皮质癌是肾上腺肿瘤中最为复杂的类型之一,起病隐匿,很多患者在发现时肿瘤体积已较大,且常伴周围脏器及重要血管受累,手术切除是该类疾病最主要的治疗方式,但手术往往难度大、风险高,一直是外科领域的难点。近日,中南大学湘雅二医院泌尿外科联合血管外科、放射介入科、代谢与内分泌科、麻醉科以及肿瘤科等多个学科,成功为两例巨大肾上腺皮质癌患者实施高难度手术治疗。两位患者术后恢复良好,均已顺利出院。

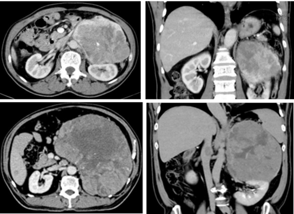
据悉,该院收治的两名巨大肾上腺皮质癌患者中,一名68岁男性因左腹疼痛1周入院,检查显示患者左侧肾上腺约18×15cm巨大肿瘤侵犯肾门血管,手术难度极高;另一名56岁男性因发现腹膜后肿物半年入院,检查显示左肾上腺25×18cm巨大肿瘤同时累及左肾,并伴左肾静脉及下腔静脉癌栓形成,手术切除风险极大。
针对患者病情,李源教授团队联合血管外科、胆胰外科、麻醉科、代谢与内分泌科、重症医学科及肿瘤科等多学科专家进行会诊,制定了个性化手术方案。术中,团队精细操作,成功为第一例患者完整切除肿瘤及肾静脉并行左肾静脉重建术;为第二例患者实施左肾上腺巨大肿瘤切除术+左肾静脉癌栓取出术,耗时约4小时后完整切除肿瘤及癌栓,并成功为患者保留了左侧肾脏及其功能。两例患者术后均恢复顺利,后续计划至肿瘤科行下一步治疗。
李源介绍,团队长期致力于泌尿外科复杂巨大肿瘤的诊疗,依托医院强大的多学科协作平台,为患者提供规范化、精准化、个体化治疗方案,在追求最佳治疗效果的同时,最大程度保障患者安全。









分享:









